مشاهده نمونه آنلاین لام مجازی

دیجیتالی کردن لام های شیشه ای یک راه حل اساسی برای رسیدن به کارایی سریع تر، راحت تر، مطمئن تر و بهینه تر در حوزه های پزشکی و آزمایشگاهی است. استفاده از لام های دیجیتال مزایایی همچون راحت سازی روند بررسی نمونه، بالا بردن دقت تشخیص، امکان آرشیو کردن اطلاعات بیمار بدون خطر شکستن نمونه و امکان به اشتراک گذاری نمونه های اسکن شده از طریق اینترنت را به همراه دارد. اسکنر لام CELLNAMA با استفاده از ویژگی های برجسته و امکانات متعددی که ارائه می دهد، تمام مزایای بالا را در برمی گیرد تا به عنوان ابزاری ایده آل در حوزه های آزمایشگاهی، تشخیص پاتولوژی، تله پاتولوژی، میکروسکوپی دیجیتال و آموزش علوم میکروسکوپی شناخته شود.

لیست لام‌ها subdirectory_arrow_right

Pap Smear (E-Prep)

Objective: 40X - Dete: 13.07.2018 - Size:1.35 GB

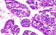
Adeno Carcinoma

Objective: 40X - Dete: 1.07.2018 - Size:558 MB

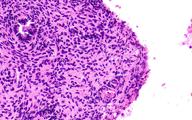
Gastric Sample

Objective: 40X - Dete: 23.07.2018 - Size:111 MB

Hepatitis

Objective: 40X - Dete: 24.07.2018 - Size:208 MB

Retina

Objective: 20X - Dete: 24.07.2018 - Size:48 MB

Tracheids

Objective: 20X - Dete: 25.07.2018 - Size:42 MB

Cancer Sample

Objective: 40X - Dete: 26.07.2018 - Size:653 MB