پاتولوژی دیجیتال، هوشمندتر از همیشه! | ساخت ایران
سه رکن اصلی برای تشخیص دقیق، سریع و قابل اعتماد
آزمایشگاهها و مراکز تحقیقاتی پیشرو به CELLNAMA اعتماد میکنند
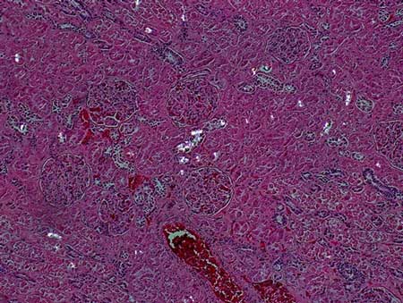
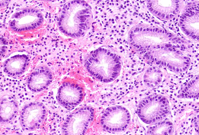
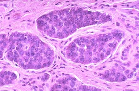
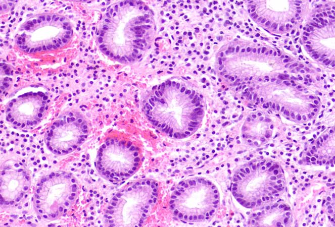
مشاهده و بررسی نمونههای میکروسکوپی با کیفیت بالا به صورت آنلاین
سه دلیل اصلی برای انتخاب سلنما به عنوان شریک پاتولوژی دیجیتال شما
تکنولوژی پیشرفته و دقت بالا برای تشخیصهای قابل اعتماد. کیفیت تصویربرداری استاندارد جهانی برای نتایج دقیق. سیستمهای اسکن لام با رزولوشن بالا و قابلیت بزرگنمایی تا 100X برای مشاهده جزئیات دقیق بافتها.
بیش از 27 سال تجربه در کنار متخصصان پاتولوژی. پشتیبانی فنی ۲۴/۷ و آموزش تخصصی برای تیم شما. تیم متخصص ما همواره در کنار شما برای ارائه بهترین راهکارها و پشتیبانی جامع است.
ما جهانی را تصور میکنیم که با استفاده از دیجیتال پاتولوژی و هوش مصنوعی و بینشهای جامع، تشخیص سرطان غنیتر و سریعتر شده و به همه بیماران بابت تشخیص اطمینان خاطر میدهد.
هشت حوزه اصلی کاربرد محصولات CELLNAMA در پاتولوژی و زیستشناسی
General Pathology
Cancer Research
Toxicology
Tumor Board
Tissue Micro Array (TMA)
Biology
Parasitology
Hematology
نمایشگر اسلاید مجازی
نرمافزار قدرتمند برای مشاهده و تحلیل لامهای مجازی با کیفیت بالا
نسخههای دسکتاپ LamViewer
آخرین نسخههای LamViewer متناسب با سیستم شما؛ همیشه بهروز بمانید.
آخرین اخبار، مقالات و منابع علمی پاتولوژی دیجیتال
راهکارهای هوش مصنوعی (AI) در حوزههای پاتولوژی دیجیتال
ادامه مطلب
حضور شرکت سلنما در بیست و هفتمین همایش سالانه و دهمین همایش بینالمللی آسیبشناسی و طب آزمایشگاهی
ادامه مطلب
بهصورت سنتی و از طریق کتابهای مرجع (اطلسها)، لامهای شیشهای و میکروسکوپی معمولی انجام میشود. در دو دههی اخیر مراجع دیجیتال پاتولوژی رشد چشمگیری داشتهاند و امکان به اشتراکگذاری همزمان دادههای پاتولوژی را در اختیار بسیاری از دانشجویان و اساتید قرار دادهاند. اخیراً، با پیدایش اسکنر لام میکروسکوپی و با استفاده از تکنولوژی تصویربرداری لام کامل (Whole Slide Imaging) میتوان لامهای شیشهای معمولی را با اسکن بهصورت دیجیتال تبدیل کرد که با استفاده از نرمافزارهای مخصوص قابل نمایش هستند. به این تکنولوژی میکروسکوپی مجازی (Virtual Microscopy) یا میکروسکوپی دیجیتال (Digital Microscopy) و به نمونههای دیجیتال بهدستآمده از آن لام مجازی (Virtual Slide) گفته میشود. پیدایش این مفاهیم فرصتهای استثنایی را در آموزش و یادگیری پاتولوژی به وجود آورده است.
ادامه مطلب
مفتخریم اعلام کنیم که با کمک متخصصین تیم CELLNAMA و دستگاه اسکنر لام CELLNAMA LSE20، دانشگاه علوم پزشکی ایران اولین دانشگاه در خاورمیانه است که به سیستم آموزش دیجیتال و تعاملی پاتولوژی مبتنی بر لام مجازی مجهز شده است...
ادامه مطلب
مطالعات امروزی نشان میدهند که تصاویر دیجیتال از لامها و لامهای میکروسکوپی شیشهای قابلیت تفسیرپذیری یکسانی دارند. هرچند میزان صحت روش های دیجیتال به تفصیل مطالعه و تایید شده است، اما زمان مورد نیاز برای تفسیر دیجیتالی این تصاویر به ندرت مطالعه شده است و بنابراین نگرانی هایی در مورد بازده این روش ها مانع استفاده از روش های دیجیتال به طور گسترده شده است.ما در یک پژوهش تطبیقی، بازده و یا کارآمدی پاتولوژی دیجیتال را مورد بررسی قرار دادیم و آن را با تفسیر لام شیشه ای در تشخیص نمونه های بیوپسیِ پاتولوژی جراحی و نمونه های رزکسیون مقایسه کردیم.
ادامه مطلب
اکثرمطالعات پیشین دربارهی مقایسهی تشخیص اولیه در پاتولوژی جراحی با استفاده از تصویربرداری کامل لام (WSI)و یا روش میکروسکوپی، بر سیستمهای ارگانی یا موارد نسبتاً کمی تمرکز داشتند. هدف پژوهش حاضر اثبات این موضوع است که تکنولوژی تصویربرداری کامل لام جهت تشخیص اولیهی موارد پاتولوژی جراحی ضعیفتراز روش میکروسکوپی نمیباشد و اصطلاحاً در مقایسه با روش میکروسکوپی noninferior است.
ادامه مطلب
تله پاتولوژی (پاتولوژی از راه دور) شاخهای از تله مدیسین (پزشکی از راه دور) و همچنین پاتولوژی است که با استفاده از فناوری ارتباطات و جهت تسهیل انتقال دادههای تصویری پاتولوژی میان مراکز دور از هم و با هدف تشخیص، آموزش و تحقیق صورت میپذیرد . ورود میکروسکوپی به دنیای تله مدیسین (پزشکی از راه دور) در سال 1968 (و 17 سال پس از معرفی میکروسکوپ نوری تلویزیونی) اتفاق افتاد و باعث شد که کلمهی تله پاتولوژی Telepathology برای اولین بار توسط دکتر رونالد وینستین R. S. Weinstein در سال 1968 وارد زبان انگلیسی شود. در آن سال، دکتر وینستین یکی از اعضای تیمی بود که تصاویر ویدئویی سیاهوسفید و آنالوگِ میکروسکوپی از نمونههای ادراری و اسمیرهای خونی را از کلینیک فرودگاه بین المللی لوگان در بوستون ماساچوست به بیمارستان عمومی ماساچوست جهت تفسیر منتقل میکرد.
ادامه مطلب
پزشکی از راه دور یا تله مدیسین (Telemedicine) روشی است که به وسیلهی آن میتوان کلیهی فرایندهای مورد بررسی قرار دادن، معاینه، پایش و درمان بیماران را در حالی انجام داد که پزشک و بیمار در دو محل متفاوت از هم باشند. بوسیلهی پزشکی از راه دور، نیاز به جابهجایی بیماران از میان برداشته میشود و به جای آن تخصص انتقال پیدا میکند . هرچند که از اولین استفادهی کلمهی تله مدیسین، در دههی 1970 میلادی، زمان بسیاری گذشته است، اما تعاریف بسیاری از این واژه وجود دارد. یک مطالعه انجام شده در سال 2007 میلادی نشان میدهد که 104 تعریف مختلف از واژهی تله مدیسن در مقالات داوری شده وجود دارد. بنابر این، تعریف ارائه شده از پزشکی از راه دور یا تله مدیسین توسط سازمان جهانی بهداشت به عنوان یک تعریف جهانشمول در نظر گرفته میشود. این تعریف «ارائه خدمات سلامتی و مراقبتهای بهداشتی که در آن فاصله و راه دور یک عامل بحرانی است توسط تمامی متخصصان حوزهی سلامت و با استفاده از فناوری اطلاعات و ارتباطات و با هدف تبادل اطلاعات معتبر جهت تشخیص، درمان و پیشگیری از بیماریها و صدمات، تحقیق و ارزیابی و همچنین جهت آموزش مداوم ارائه دهندگان مراقبتهای بهداشتی، که همهی این اقدامات در راستای اعتلای سلامت افراد و جامعه صورت میپذیرد.»
ادامه مطلب
ریز آرایه بافتی یا به اختصار (TMA (Tissue MicroArray، تکنیک جدید و سطح بالایی است که ریشه آن به 1990-1980 برمیگردد. وقتی که محققان به ترکیب تکههای کوچکی از بافتها در یک بلوک که اصطلاحا بلوک سوسیسی (sausage block) نامیده میشد، پرداختند. روش TMA هجده سال پیش توسعه پیدا کرد. در ابتدا فایده این روش به صورت بحث برانگیزی مورد شک بود و نگرانیهایی مطرح شد. نگرانیهایی مبنی براینکه تکههای کوچک بافت برای نمایش کل بافت کافی نیست. افزایش استفاده از تکنیک TMA ، کاربرد این تکنیک در تحقیقات را به صورت موثری نشان داد. اساسا تمام همبستگیهای مرتبط بین مارکرهای مولکولی و خروجیهای کلینیکی توسط یک تکه بافت استوانهای با قطر حداقل 0.6 میلیمتر قابل تولید است. بنابراین امروزه، TMA به ابزاری استاندارد برای بعد جدیدی از آنالیز بافت تبدیل شده است. تعداد زیاد تکههای بافت با اندازه کوچک با شکل منظم استوانهای، حفظ انسجامپذیری بلوکهای دهنده و الگوی آرایهای سازماندهی شده که امکان تخصیص قابل اطمینان دادههای کلینیکی به هرتکه بافت را امکان پذیر میکند، روش TMA را به روشی منحصر به فرد و مجزا تبدیل کرده است.
ادامه مطلبتیم متخصصین ما آماده ارائه مشاوره و راهنمایی برای انتخاب بهترین راهکار پاتولوژی دیجیتال برای آزمایشگاه و مرکز تحقیقاتی شما هستند.