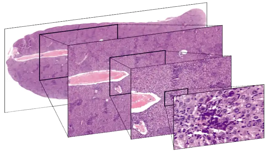
تله پاتولوژی
اسکن لام
پاتولوژی دیجیتال
میکروسکوپی مجازی
اسکنر لام Slide Scanner

اسکنرهای لام سلنما، دستگاه‌هایی پیشرفته در حوزه پاتولوژی دیجیتال، میکروسکوپی مجازی و تله‌پاتولوژی هستند که در ایران طراحی و تولید می‌شوند. این اسکنرها امکان اسکن خودکار لام را فراهم کرده و با بهره‌گیری از فناوری تشخیص هوشمند، ناحیه دقیق بافت را برای اسکن انتخاب می‌کنند. این سیستم‌ها از نرم‌افزار قدرتمندی جهت مدیریت، آرشیو و نمایش لام‌های مجازی پشتیبانی کرده و قابلیت‌هایی مانند زوم روان، اندازه‌گیری دقیق در مقیاس میکرون و حالت‌های متنوع فوکوس از جمله فوکوس خودکار، ثبت مجموعه تصاویر فوکوس و عمق میدان گسترش‌یافته را ارائه می‌دهند تا بالاترین کیفیت تصویربرداری حاصل شود. اسکنرهای سلنما در مراکز آزمایشگاهی پاتولوژی برای دیجیتالی‌سازی روند تشخیص و بایگانی نمونه‌ها کاربرد دارند. همچنین به دلیل دقت و کیفیت بالا، در مراکز تحقیقاتی برای بررسی انواع نمونه‌های بافتی بسیار مناسب هستند. در حوزه تله‌پاتولوژی، این دستگاه‌ها قابلیت تبدیل شدن به یک سرور مرکزی را دارند و امکان به اشتراک‌گذاری نمونه‌ها از طریق اینترنت یا شبکه محلی را فراهم می‌کنند. برخی از مدل‌های این مجموعه نیز برای کاربردهای آموزشی طراحی شده‌اند و به اساتید و دانشجویان اجازه می‌دهند لام‌های مجازی را به‌صورت آنلاین مشاهده و بررسی کنند.

CELLNAMA LS400

CELLNAMA LS 400 یک اسکنر لام با ظرفیت بالا است که دارای ظرفیت اسکن ۴۰۰ لام را دارد و ابعاد لام مورد پشتیبانی آن 25 در 75 میلی‌متر است. از حالات فوکوس خودکار (AF)، عمق میدان گسترش‌یافته (EDF)، و حالت دسته تصاویر فوکوس (Focus Stack) پشتیبانی می‌کند. مدل‌های اسکن آن شامل AF و DP (تصویر دوگانه) است. دارای دوربین CMOS با رزولوشن 4096x2168 است و زمان اسکن یک ناحیه 15 در 15 میلی‌متری با بزرگنمایی ۴۰X برابر با ۲۴۰ ثانیه است. بزرگنمایی اپتیکال آن معادل ۴۰X است و بزرگنمایی دیجیتال تا ۸۰X نیز فراهم است. مجهز به پردازنده Core i9 (Intel 12700K)، رم ۹۶ گیگابایت DDR5، و کارت گرافیک NVIDIA GeForce GT 3050 است. از سه دیسک سخت شامل یک SSD با ظرفیت ۲۵۶ گیگابایت، یک SSD با ظرفیت ۴ ترابایت، و یک HDD با ظرفیت ۱۴ ترابایت استفاده می‌کند. این محصول ساخت ایران است و دارای ۳ سال ضمانت می‌باشد.

  • دانلود کاتالوگ

  • CELLNAMA LS5N

    CELLNAMA LS 5N یک اسکنر لام با قابلیت اسکن ۵ لام (اسلاید) به صورت خودکار می باشد. این دستگاه برای کاربردهای پاتولوژی عمومی، تشخیص بالینی، آموزش ، تحقیقات و میکروسکوپی دیجیتال مناسب است. سه حالت فوکوس مختلف را پشتیبانی می‌کند که شامل AF (Autofocus) یا فوکوس خودکار، FS (Focus Stack) یا اسکن با دسته تصاویر فوکوس، و EDF (Extended Depth of Field) یا عمق میدان گسترش یافته می باشد. زمان اسکن برای یک ناحیه ۱۵x۱۵ میلی‌متر مربع در حالت ۲۰X، حدود ۳ دقیقه و در حالت ۴۰X، حدود ۱۵ دقیقه است. سیستم اپتیکی آن شامل دوربین CMOS با رزولوشن 1920x1200 times می باشد. قدرت بزرگنمایی آن در لنز ۲۰X تا ۲۰X (با زوم دیجیتال تا ۴۰X) و در لنز ۴۰X تا ۴۰X (با زوم دیجیتال تا ۸۰X) قابل تنظیم است. دارای قابلیت تله پاتولوژی (از طریق لوکال/اینترنت) و ذخیره سازی تصاویر در کامپیوتر است. سیستم کامپیوتری پیشنهادی برای این دستگاه شامل CPU intel 12700 k، رم ۳۲GB DDR4 ، هارد ۲۵۶GB SSD و HDD ۴TB است.

  • دانلود کاتالوگ

  • CELLNAMA LSO5N چیست؟
  • CELLNAMA LS1

    اسکنر لام Cellnama LS 1 یک سیستم پیشرفته برای دیجیتالی‌سازی اسلایدهای پاتولوژی است که با بهره‌گیری از ابعاد استاندارد لام‌ (۲۵ × ۷۵ میلی‌متر) و طراحی اپتیکی اختصاصی، امکان تهیه تصاویر دقیق و باکیفیت را در محیط‌های آموزشی و پژوهشی فراهم می‌کند. این دستگاه با دو ورژن مختلف با لنز 20X یا 40X ارائه می‌شود و علاوه بر بزرگنمایی اپتیکی، از بزرگنمایی دیجیتال نیز پشتیبانی می‌کند؛ به‌گونه‌ای که در حالت 20X بزرگنمایی بین ۱ تا ۴۰ برابر و در حالت 40X بین ۱ تا ۸۰ برابر در دسترس است. یکی از نقاط قوت Cellnama LS 1 سرعت و حجم مناسب اسکن است. این دستگاه قادر است یک ناحیه ۱۵×۱۵ میلی‌متری را در بزرگنمایی 20X طی حدود ۳ دقیقه و در بزرگنمایی 40X در حدود ۱۵ دقیقه اسکن کند. حجم فایل نهایی نیز در حالت 20X حدود ۱.۵ گیگابایت و در حالت 40X نزدیک به ۴.۵ گیگابایت خواهد بود که با استانداردهای روز اسکنرهای دیجیتال پاتولوژی هم‌خوانی دارد. بهره‌گیری از دوربین CMOS با رزولوشن 1920×1200 نیز باعث ثبت جزئیات دقیق با نوردهی Brightfield می‌شود. این مدل با پشتیبانی از تله‌پاتولوژی محلی و اینترنتی امکان به‌اشتراک‌گذاری تصاویر در هر نقطه را فراهم می‌کند. در نتیجه، متخصصان می‌توانند از راه دور نمونه‌ها را بررسی، آنالیز و تشخیص دهند. کاربردهای Cellnama LS 1 طیف وسیعی از پاتولوژی عمومی، تشخیص بالینی، میکروسکوپی دیجیتال و تحقیقات را شامل می‌شود و انتخابی مناسب برای مراکز پزشکی، دانشگاه‌ها، آزمایشگاه‌های تحقیقاتی و سرویس‌های مشاوره پاتولوژی است.

    ویژگی‌ها و امکانات اسکنر لام

    hdr_strong اسکن آسان، سریع و بهینه نمونه hdr_strong

    خشاب لام

    done جایگذاری آسان 5 نمونه در خشاب لام و اسکن خودکار همه ی نمونه ها تنها با چند کلیک

    درحال بارگذاری ...
    درحال بارگذاری ...
    درحال بارگذاری ...

    done تهیه نقشه لام در کمترین زمان ممکن – 10 ثانیه

    done تعیین خودکار و دقیق ناحیه موردنظر جهت اسکن در رزولوشن های بالاتر با استفاده از روش های مبتنی بر هوش مصنوعی

    درحال بارگذاری ...

    done امکان تغییر و تعیین ناحیه اسکن بصورت دستی

    done تشخیص خودکار نواحی خالی در لام به هنگام اسکن جهت افزایش سرعت و دقت

    done نرخ بالای موفقیت در انجام اولین اسکن (98%)

    done کاهش نیاز به اسکن دوباره ی نمونه و جلوگیری از اتلاف وقت

    done عملکرد بدون صدا

    hdr_strong پشتیبانی از حالات مختلف اسکن hdr_strong

    درحال بارگذاری ...
    done اسکن با فوکوس نرمال (Normal Focus: NF)

    در سریع ترین حالت اسکن، عملیات فوکوس تنها یک بار انجام خواهد شد. به این صورت که کاربر اسکن تنها یک نقطه روی پیش نمایش لام مشخص می کند و سپس سیستم اسکنر در آن نقطه عملیات فوکوس خودکار را انجام می دهد تا بهترین نقطه ی فوکوس و موقعیت محور z متناظر با آن استخراج گردد. در نهایت، همه ی ناحیه درخواستی بدون تغییر دادن موقعیت محور z و حالت فوکوس، اسکن می شود. این حالت اسکن برای نمونه های کاملاً یکنواخت و کم ضخامت و همچنین اسکن با استفاده از بزرگنمایی های پایین مناسب است.

    درحال بارگذاری ...
    done اسکن با فوکوس خودکار (Automatic Focus: AF imaging)

    دستگاه با استفاده از الگوریتم های پیشرفته و بسیار سریع تشخیص فوکوس، در هر نقطه ای از نمونه که در حال اسکن است، بهترین سطح فوکوس را از میان یک دسته تصاویر فوکوس انتخاب می کند. با استفاده از تکنولوژی جدید فوکوس خودکار دیگر نیازی به تشکیل نقشه ی فوکوس وجود ندارد.

    Normal Focus scan
    done اسکن با عمق میدان گسترش یافته (Extended Depth of Field: EDF)

    در لام های پاتولوژی ممکن است ضخامت نمونه بیشتر از عمق فوکوس عدسی شیئی باشد، که این ویژگی باعث می شود تمام ناحیه مورد تصویربرداری در بهترین حالت فوکوس قرار نگیرد. دستگاه اسکنر CELLNAMA با استفاده از الگوریتم های نوین، پیشرفته و سریع قادر است با ترکیب تصاویر به دست آمده از سطوح فوکوس مختلف به یک تصویر تماماً فوکوس (All In Focus image) با کیفیت بالا دست یابد.

    بارگذاری تصاویر...

    lens برای مشاهده یک نمونه Focus Stack اسلایدر بالا را حرکت دهید

    done اسکن با دسته تصاویر فوکوس (Focus Stack: FS imaging)

    تمام تصاویر اخذشده در سطوح مختلف فوکوس در اختیار کاربر قرار داده می شود تا امکان بررسی دقیق تر نمونه در سطوح فوکوس دلخواه توسط متخصص وجود داشته باشد. در این حالت اسکن بیشترین اطلاعات ممکن از لام استخراج خواهد شد.

    hdr_strong کیفیت تصویربرداری: مهم ترین خصوصیت hdr_strong

    done تصویربرداری رزولوشن بالا با استفاده از عدسی های شیئی باکیفیت Nikon ژاپن

    done بازسازی بدون نویز رنگ واقعی نمونه با استفاده از بالاترین تکنولوژی تصویربرداری آلمان

    done تولید پس زمینه ای روشن و طبیعی با دمای رنگ بهینه شده

    done بهره گیری از باکیفیت ترین اجزای اپتیکی Infinity Corrected

    done استفاده از نور LED توان بالا، با طول عمر بیشتر از 30,000 ساعت

    چند نمونه از تصاویر اخذ شده با استفاده از دستگاه اسکنر لام CELLNAMA در گالری روبرو قابل مشاهده است

    lense برای مشاهده نمای کامل هر تصویر بر روی آن کلیک کنید

    مشاهده تصاویر بیشتر...

    hdr_strong رابط کاربری مدرن و قدرتمند hdr_strong

    group_work
    همزمانی

    مشاهده ی نمونه های اسکن شده، هم زمان با اسکن نمونه های جدید

    نرم افزار اسکنر CELLNAMA دارای قابلیت Multitasking می باشد که بر اساس آن کابران (Local یا Remote) قادر خواهند بود همزمان با انجام رویه اسکن لام های جدید، به لام هایی که از قبل اسکن شده اند دست یابند و به بررسی آنها بپردازند، بدون آنکه اخلالی در روند اسکن لام های جدید پیش آید.

    message
    نشانه گذاری

    نشانه گذاری، درج متن و شکل روی لام های مجازی

    نرم افزار نمایشگر لام های مجازی CELLNAMA، امکانات متعددی جهت ثبت نظرات، نشانه ها و همچنین اندازه گیری ها در اختیار کاربران قرار می دهد.

    archive
    آرشیو قدرتمند

    دسترسی به لام های اسکن شده در هر زمان

    دستگاه اسکنر CELLNAMA با بهره گیری از 4 ترابایت حافظه داخلی قابلیت ذخیره سازی اطلاعات اسکن هزاران نمونه را امکان پذیر می کند. با استفاده از امکانات Backup و Restore در نرم افزار اسکنر، مقدار فضای گنجایش نمونه ها بصورت نامحدود قابل گسترش است. مدیریت حجم زیاد از اطلاعات با استفاده از آرشیو قدرتمند نرم افزار اسکنر امکان پذیر است.

    assignment_turned_in
    گزارش گیری

    استفاده از الگوهای آماده گزارش دهی و امکان اضافه کردن تصاویر نمونه به گزارش

    یکی از مهمترین مراحل چرخه ی تشخیصی یک نمونه پاتولوژی، ارائه گزارش تشخیص می باشد. نرم افزار اسکنر CELLNAMA با در اختیار گذاشتنن امکانات مختلف تهیه گزارشات پاتولوژی را ساده تر (امکان استفاده از الگوهای آماده گزارش دهی)، غنی تر (امکان ضمیمه کردن تصاویر نمونه) و استنادپذیرتر (امکان دخیره سازی و رجوع به گزارشات چاپ شده) می کند.

    hdr_strong همیشه قابل گسترش hdr_strong

    بارکد خوان دو بعدی

    امکان اضافه کردن بارکد خوان دو بعدی جهت نظم دهی بیشتر به روند اسکن، ذخیره سازی، دسترسی و به اشتراک گذاری

    افزونه های نرم افزاری

    قابلیت استفاده از افزونه های کمک تشخیصی نرم افزاری در زمینه های کلینیکی مختلف

    تعویض لنز

    امکان تعویض و اضافه کردن عدسی های شیئی: تحقق تصویربرداری با قدرت بزرگ نمایی دلخواه

    فضای ذخیره سازی

    قابلیت اضافه کردن و افزایش فضای ذخیره سازی (H.D.D) جهت بالا بردن ظرفیت گنجایش نمونه ها در آرشیو دیجیتال

    hdr_strong پردازش تصویر hdr_strong

    درحال بارگذاری ...

    done ساخت لام مجازی یکپارچه از ناحیه اسکن با بالاترین کیفیت تصویر

    done زوم روان به داخل و بیرون لام های مجازی هنگام مشاهده و بررسی نمونه های دیجیتال

    zoom_in انجام اندازه گیری های دقیق در مقیاس میکرون

    done انجام اندازه گیری های دقیق در مقیاس میکرون

    done پردازش، تغییر و بهبود تصاویر بصورت بلادرنگ و به سلیقه متخصص

    hdr_strong مدیریت و آرشیو ایمن لام‌های حساس hdr_strong

    زوم لام‌های مجازی

    done امکان زوم روان به داخل و بیرون لام‌های مجازی هنگام مشاهده و بررسی نمونه‌های دیجیتال

    done انجام اندازه‌گیری‌های دقیق در مقیاس میکرون

    done انجام روند تشخیص پاتولوژی به صورت سیستماتیک و دیجیتال

    done امکان تهیه گزارش با استفاده از الگوهای از پیش تعیین شده

    done دسترسی به آرشیو لام‌های مجازی با قابلیت جست و جو

    مقایسه مدل های اسکنر لام

    Slide Capacity

    LS 1 LS 5N LSO 5N LS 400
    1 5 5 400

    illumination

    LS 1 LS 5N LSO 5N LS 400
    Brightfield Brightfield Brightfield Brightfield

    Scanning Modes

    LS 1 LS 5N LSO 5N LS 400
    Auto Focus
    EDF
    Focus Stack
    Auto Focus
    EDF
    Focus Stack
    Auto Focus
    EDF
    Focus Stack
    Autofocus
    EDF (Extended Depth Of Field)
    Focus Stack

    Magnification Power

    LS 1 LS 5N LSO 5N LS 400
    2x
    20x
    40x
    80x (Virtual Zoom)
    2x
    20x
    40x
    80x (Virtual Zoom)
    2x
    20x
    40x
    100x
    200x (Virtual Zoom)
    2x
    20x
    40x
    80x (Virtual Zoom)

    Auto Oil Dispenser

    LS 1 LS 5N LSO 5N LS 400
    No No Yes NO

    Telepathology

    LS 1 LS 5N LSO 5N LS 400
    Yes
    (Local/Internet)
    Yes
    (Local/Internet)
    Yes
    (Local/Internet)
    Yes
    (Local/Internet)

    Applications

    LS 1 LS 5N LSO 5N LS 400
    General Pathology
    Clinical Diagnosis
    Digital Microscopy
    Research
    General Pathology
    Clinical Diagnosis
    Digital Microscopy
    Research
    General Pathology
    Clinical Diagnosis
    Digital Microscopy
    Research
    General Pathology
    Clinical Diagnosis
    Digital Microscopy
    Research

    کاربرد اسکنر لام CELLNAMA در حوزه‌های مختلف پزشکی و آزمایشگاهی

    مراکز آزمایشگاهی پاتولوژی
    مراکز آزمایشگاهی پاتولوژی

    ساده سازی مراحل اسکن، بررسی، تشخیص، گزارش‌گیری و آرشیو کردن نمونه‌های میکروسکوپی به وسیله‌ی دستگاه اسکنر لام CELLNAMA در کنار کیفیت بالای تصاویر، به مراکز آزمایشگاهی کمک می‌کند تا اتمام روند انجام تشخیص پاتولوژی خود را به صورت دیجیتال انجام دهند، تا علاوه بر بالا بردن سطح کیفیت، همیشه تشخیص‌های قابل استناد در خروجی داشته باشند.

    مراکز تحقیقاتی
    مراکز تحقیقاتی

    تصاویر و اسکن‌های به دست آمده از طریق دستگاه اسکنر CELLNAMA ، به خاطر اینکه از کیفیت و دقت بالایی برخوردار هستند، گزینه مناسبی برای بررسی نمونه‌های مختلف از جمله موارد سرطانی در مراکز تحقیقاتی خواهندبود.

    آموزش علوم میکروسکوپی
    آموزش علوم میکروسکوپی

    سیستم‌ CELLNAMA LS PE20 علاوه بر ویژگی‌های عمومی تعریف شده، دارای ویژگی‌های منحصر به فردی جهت سهولت و بهبود آموزش پاتالوژی است. بارزترین ویژگی‌ CELLNAMA LS PE20 امکان سرویس‌دهی و به اشتراک‌گذاری لام‌های مجازی با دانشجویان است.

    تله پاتولوژی (پزشکی از راه دور)
    تله پاتولوژی (پزشکی از راه دور)

    با استفاده از سیستم‌ تله‌پاتالوژی CELLNAMA ، هر دستگاه اسکنر به یک سرور مرکزی تبدیل می‌شود که امکان به اشتراک‌گذاری نمونه‌های اسکن‌ شده را از طریق اینترنت یا شبکه‌های محلی مهیا می‌سازد.

    میکروسکوپی دیجیتال
    میکروسکوپی دیجیتال

    می‌توان از دستگاه اسکنر CELLNAMA به عنوان یک میکروسکوپ دیجیتال بهره برد. کاربر قادر است به صورت آزادانه، بدون محدودیت و با استفاده از هر بزرگنمایی دلخواهی در هر کدام از لام‌های موجود روی خشاب به مشاهده و تصویربرداری از نمونه‌ بپردازد.

    سوالات متداول

    دستگاه اسکنر لام قابلیت تصویربرداری در چه بزرگنمایی هایی را دارد؟

    به صورت پیش فرض دستگاه اسکنر لام CELLNAMA از سه عدسی شیئی Nikon Plan Achromat با قدرت های بزرگنمایی 40x، 20x 2x بهره می برد. امکان تغییر بزرگنمایی این عدسی ها و اضافه کردن یک عدسی شیئی دیگر (مجموعاً 4 عدسی شیئی) نیز وجود دارد.

    آیا به جز اسکن لام، امکان انجام میکروسکوپی و بررسی نمونه به صورت آزادانه وجود دارد؟

    بله، دستگاه اسکنر لام CELLNAMA مجهز به نرم افزار میکروسکوپی است که قابلیت مشاهده و بررسی آزادانه نمونه را در اختیار کاربر قرار می دهد. علاوه بر این، در قسمت میکروسکوپی امکانات متعددی جهت تنظیم ویژگی های تصویر و تصویربرداری برای کاربر قرار داده شده است که تجربه ی جدید و روانی را از میکروسکوپی دیجیتال به کاربر القا خواهد نمود.

    دستگاه اسکنر ظرفیت بارگذاری چند نمونه را دارد؟

    در حال حاضر تمام مدل های اسکنر CELLNAMA تا 5 نمونه لام استاندارد ظرفیت بارگیری و اسکن خودکار دارند.

    چه نوع نمونه هایی با دستگاه اسکنر قابل اسکن هستند؟

    ازآنجایی که دستگاه اسکنر CELLNAMA با اهداف جامع تشخیص، آموزش و تحقیقات طراحی و ساخته شده است، انواع مختلف نمونه های میکروسکوپی با بالاترین کیفیت قابل اسکن هستند، ازجمله این نمونه ها می توان به نمونه های Pathology، Cytology، Hematology، Microbiology، TMA، Urinalysis، Toxicology و Parasitology اشاره کرد.

    آیا نمونه ها نیاز به رعایت استاندارد آماده سازی و رنگ آمیزی خاصی دارند؟

    اسکنر لام CELLNAMA توانایی اسکن انواع نمونه های میکروسکوپی (پاتولوژی، بیولوژی، هماتولوژی و...) که با روش های رنگ آمیزی متداول تهیه شده اند را دارد. هوش مصنوعی و الگوریتم های اسکنر لام CELLNAMA به گونه ای طراحی و پیاده سازی شده اند تا سیستم در مقابل مشکلات مختلفی که ممکن است در هنگام تهیه لام (مانند وجود حباب های ریز در زیر لامل، اضافه شدن آشغال روی سطح نمونه، غیریکنواخت پخش شدن چسب روی نمونه و...) و همچنین رنگ آمیزی نمونه (مانند اضافه شدن رنگ در مکان هایی که بافت وجود ندارد، حضور رسوب رنگ و رنگ گیری کم یا زیاد نمونه) پیش بیاید، مقاوم باشد. به هرحال، اطمینان از کیفیت آماده سازی و رنگ آمیزی نمونه، احتمال بروز خطا در فرآیند اسکن نمونه را کاهش خواهد داد.

    زمان اسکن نمونه ها چه مقدار طول می کشد؟

    زمانی که طول می کشد تا یک نمونه اسکن شود به پارامترهای مختلفی وابسته است. تأثیرگذارترین پارامترها بر زمان اسکن شامل بزرگنمایی (عدسی شیئی)، اندازه ناحیه مورد اسکن و نوع اسکن (فوکوس) است. سیستم اسکنر لام CELLNAMA یک ناحیه 15×15 میلی متری را با استفاده از بزرگنمایی 20x و نوع اسکن Auto Focus (معمول ترین نوع اسکن) در حدود کمتر از 5 دقیقه اسکن می کند. توجه داشته باشید که در صورت استفاده از Focus Mapping این زمان به کمتر از 3 دقیقه کاهش می یابد.

    آیا امکان اضافه کردن لنز های جدید به دستگاه وجود دارد؟

    بله. به طور پیش فرض هر اسکنر حاوی لنزهای 20x، 2x و 40x می باشد. امکان کم کردن لنزهای مذکور و اضافه کردن لنزهای 60x، 10x و 100x وجود دارد. هر اسکنر حداکثر شامل 4 لنز می تواند باشد.

    آیا اسکنر قادر به اسکن لام هایی که نیاز به روغن امرسیون (Oil immersion) دارند، هست؟

    بله، با توجه به گسترش پذیری سیستم اسکنر لام CELLNAMA، امکان اضافه کردن عدسی های شیئی انتخابی (مانند 100xOil) و همچنین سیستم خودکار قطره چکان وجود دارد تا دستگاه قادر به اسکن این گونه لام ها با بالاترین کیفیت باشد.

    آیا اسکنر CELLNAMA قدرت تصویربرداری از نمونه های ضخیم پاتولوژی یا زیست شناسی را دارد؟

    بله، دستگاه قادر است نمونه های ضخیم میکروسکوپی را با استفاده از انواع روش های فوکوس اسکن نماید. سیستم اسکنر لام CELLNAMA توجه ویژه ای به چنین لام هایی داشته و ابزارهای مختلفی جهت رسیدن به یک اسکن موفق از آن ها در خود جای داده است. امکان اسکن نمونه با استفاده از تکنولوژی EDF، تا 20 لایه فوکوس مختلف از یک FOV اخذ می کند و با پردازش آن ها یک تصویر تماماً فوکوس شده (All In Focus) به دست می دهد. همچنین نوع اسکن Focus Stack علاوه بر اینکه تصویر EDF در خروجی به دست می دهد، امکان دسترسی به تمامی تصاویر اخذ شده از سطوح مختلف فوکوس را در اختیار کاربر قرار می دهد تا این گونه حس بهتری از میکروسکوپی به کاربران و متخصصین القاء شود. علاوه بر این ها، هوش مصنوعی CELLNAMA مجهز به ابزار SmartEDF بوده که مخصوص لام هایی است که در آن ها ناحیه بافت ضخامت بسیار زیادی دارد. همچنین تکنولوژی SmartEDF احتمال بروز خطا در اسکن لام هایی که به درستی تهیه نشده اند را بسیار کاهش می دهد.

    آیا امکان به اشتراک گذاری نمونه ها با افراد یا مراکز دیگر وجود دارد؟

    نرم افزار تله پاتولوژی CELLNAMA مجموعه ای جامع از ابزارهای موردنیاز جهت به اشتراک گذاری نمونه ها در اختیار کاربران قرار می دهد. با استفاده از ویژگی های تله پاتولوژی CELLNAMA، امکان به اشتراک گذاری کلی یا ناحیه ای نمونه ها روی شبکه های محلی و اینترنت امکان پذیر خواهد بود. به هرحال، برای اینکه افراد دیگر قادر باشند لام های مجازی را مشاهده و بررسی کنند، نیاز به نصب برنامه Client بر روی کامپیوتر خود دارند. بدیهی است سرعت بالاتر اینترنت امکان استفاده بهتر و کاهش زمان انتقال را خواهد داشت.

    آیا امکان بارگذاری و مشاهده لام های مجازی روی اینترنت وجود دارد؟

    با استفاده از نرم افزار Client تله پاتولوژی CELLNAMA، امکان مشاهده لام های مجازی که از طریق اینترنت اشتراک گذاری شده اند، وجود دارد.

    آیا امکان جابجایی لام های مجازی با استفاده از حافظه های جانبی وجود دارد؟

    به هدف راحتی در انتقال لام های مجازی به کاربران راهِ دور سیستم (در حالتی که حجم اطلاعات زیاد است و امکان دسترسی به اینترنت مناسب وجود ندارد)، ابزارهای Import/Export در نرم افزارهای Srever و Client سیستم CELLNAMA تعبیه شده است که امکان ذخیره سازی لام های مجازی روی حافظه های جانبی (مانند Flash Memory و External H.D.D) و بازیابی آن ها را مهیا می سازد. توجه داشته باشید که حتی در این حالت نیز امکان به اشتراک گذاری نشانه هایی (annotations) که روی لام ها قرار داده شده است، وجود دارد. همچنین، کاربر راهِ دوری که نمونه را روی فلش دریافت کرده است، قابلیت بارگذاری نظرات و حاشیه نویسی های خود را به صورت آنلاین در اختیار دارد.

    دستگاه ظرفیت ذخیره سازی چند نمونه را دارد؟

    پاسخ دقیقی به این پرسش وجود ندارد زیرا بسته به اینکه لام ها با چه تنظیمات و بزرگنمایی اسکن شده اند، تصاویر با چه کیفیتی ذخیره شده اند و اینکه فضای بافت در آن نمونه ها چه اندازه ای بوده است، حجم لام های مجازی اسکن شده می تواند بسیار تغییر کند. به هرحال، حافظه ی داخلی سیستم CELLNAMA از حدود 4000 گیگابایت فضای ذخیره سازی بهره می جوید که قابلیت ذخیره سازی هزاران اسکن را ممکن می سازد.

    آیا امکان پشتیبانی گیری از نمونه های اسکن شده وجود دارد؟

    بله. در استفاده های طولانی مدت از دستگاه، ممکن است این حافظه ذخیره سازی دستگاه پر شود. جهت آرشیو کردن نمونه ها و آزادسازی فضای حافظه داخلی سیستم CELLNAMA، ابزارهای Backup و Restore قوی در رابط کاربری مدرن دستگاه اسکنر لام CELLNAMA گنجانده شده است.

    آیا امکان جست وجو در لام های اسکن شده وجود دارد؟

    بله. رابط کاربری دستگاه اسکنر لام CELLNAMA به شما این قابلیت را می دهد که لام های موردنظر خود را با جست وجو در فیلد های مختلف (شماره لام، نام لام، نام بیمار، تاریخ اسکن و...) دیتابیس، به راحتی بیابید.

    آیا امکان مقایسه دو لام مجازی وجود دارد؟

    بله. نرم افزار نمایش لام های مجازی CELLNAMA دارای قابلیت Multi Tab است که به کاربر اجازه می دهد هم زمان چندین لام را در نمایشگر بازکرده، آن ها را در کنار هم گذاشته و فرآیند بررسی را انجام دهد.

    آیا امکان تغییر رنگ و نور تصویر اسکن شده وجود دارد؟

    بله. نرم افزار نمایشگر لام های مجازی CELLNAMA ابزارهای مختلفی جهت تغییر ظاهر لام مجازی و بهبود کیفیت در اختیار کاربر قرار می دهد که کاملاً با سلیقه او قابل تنظیم هستند. این ابزارها شامل مواردی همچون Brightness، Contrast، Hue، Saturation، Sharpness، Inversion و Gamma می شوند.

    آیا دستگاه اسکنر نیاز به کامپیوتر و مانیتور خاصی دارد؟

    دستگاه اسکنر CELLNAMA به همراه تمام تجهیزات لازم (کامپیوتر، مانیتور، ماوس، کیبورد، هدفون و نرم افزارهای لازم) به مشتری عرضه می شود و لذا برای استفاده از آن نیازی به خرید تجهیزات دیگری نیست.

    دستگاه اسکنر چه ابعادی را اشغال می کند و چه وزنی دارد؟

    دستگاه اسکنر لام CELLNAMA با ابعاد 36×60×60 (عرض×طول×ارتفاع) سانتیمتر فضای نسبتاً کمی را اشغال می کند. وزن دستگاه حدود 60 کیلوگرم بوده که جهت جابجایی راحت آن دو دستگیره در اطراف دستگاه تعبیه شده است (در صورت عدم نیاز این دستگیره ها قابل حذف هستند).

    آیا جهت استفاده از دستگاه اسکنر به اتاق یا تجهیزات خاصی نیاز است؟

    خیر. دستگاه اسکنر لام CELLNAMA به گونه ای طراحی و ساخته شده که در مقابل ارتعاشات و تغییرات دمایی و رطوبتی معمول موجود در محیط های آزمایشگاهی و بیمارستانی مقاوم است. به هرحال، در شرایط خاص توصیه می شود دستگاه در محیط های کم لرزش (ترجیحاً طبقات همکف یا زیرزمین) بکار گرفته شود.

    آیا دستگاه اسکنر شامل گارانتی می شود؟

    بله. هر دستگاه اسکنر شامل دو سال گارانتی رایگان است. لطفاً برای اطلاع از جزئیات و موارد شامل گارانتی به قراردادی که هنگام فروش به خریدار تحویل داده می شود مراجعه کنید.

    قیمت دستگاه اسکنر لام چقدر است؟

    دستگاه اسکنر لام CELLNAMA دارای انواع مختلفی است که هرکدام از آن ها دارای قابلیت ها و ویژگی های گوناگونی هستند و لذا قیمت مدل های مختلف با یکدیگر تفاوت خواهند داشت. لطفاً جهت به دست آوردن اطلاعات بیشتر در مورد دستگاه و یا اطلاع از قیمت آن، با نمایندگی های فروش ما تماس بگیرید یا فرم درخواست اطلاعات را پر نموده و ارسال فرمایید.